This repo is a tool to develop sparse view CT reconstruction projects and compare different methods easily. The following papers are developed using this code repository.
@article{unal2024proj2proj,
title={Proj2Proj: self-supervised low-dose CT reconstruction},
author={Unal, Mehmet Ozan and Ertas, Metin and Yildirim, Isa},
journal={PeerJ Computer Science},
volume={10},
pages={e1849},
year={2024},
publisher={PeerJ Inc.}
}
@INPROCEEDINGS{9433944,
author={Unal, Mehmet Ozan and Ertas, Metin and Yildirim, Isa},
booktitle={2021 IEEE 18th International Symposium on Biomedical Imaging (ISBI)},
title={Self-Supervised Training For Low-Dose Ct Reconstruction},
year={2021},
volume={},
number={},
pages={69-72},
doi={10.1109/ISBI48211.2021.9433944}}
@article{unal2020unsupervised,
title={An Unsupervised Reconstruction Method For Low-Dose CT Using Deep Generative Regularization Prior},
author={Unal, Mehmet Ozan and Ertas, Metin and Yildirim, Isa},
journal={Biomedical Signal Processing and Control},
volume={75},
number={1746-8094},
pages={103598},
year={2020},
publisher={Elsevier}
}
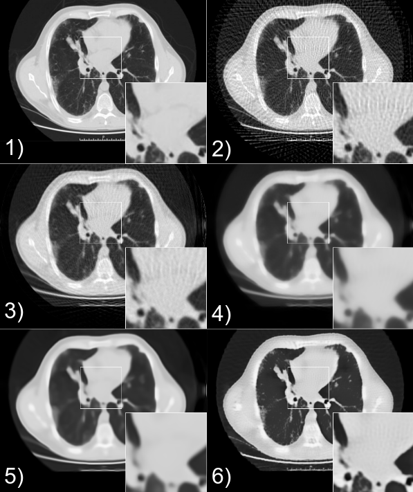
Example resuls from from this paper.
From left to right: ground truth, FBP, SART, SART+TV, SART+BM3D, the proposed method (learned self-supervised).
The installation tested on Ubuntu 18.04. The following linux packages are required.
sudo apt install python3-dev python3-pip \
libopenblas-dev
The python libraries which are defined in requirements.txt should also be installed.
pip install -r requirements.txt
Please implement your constructor according to Reconstructor abstract class. A contribution guide will be added
In this code repository the packages in requirement.txt are used. There are some code parts from following code repositories are used directly to port the methods for CT reconstruction.
Please see LICENSE file
